Skip to main content

Blog de CEDEFCO

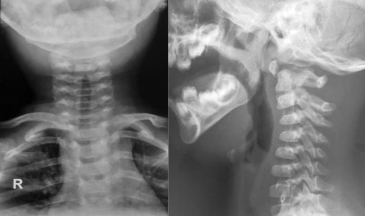
Espondilolisis cervical de C2 - Caso clínico y revisión bibliográfica

Radiografía de columna cervical frente y perfl

Se presenta un caso poco frecuente de espondilolisis cervical de C2, en un lactante de 1año y 7 meses de edad. Con el objetivo de mostrar las difcultades diagnósticas y terapéuticas, conociendo aquellos signos radiológicos que permiten identifcar esta infrecuente patología así como el algoritmo diagnóstico. Se optó por un tratamiento conservador con collarete, y se controló de forma regular obteniendo una muy buena evolución.

Prepararse para la consulta

Los siguientes test pueden realizarse previo a la consulta, y llevar los resultados a tu médico, que serán útiles a la hora del diagnóstico y el seguimiento, tanto si se trata de un profesional de CEDEFCO como de cualquier otra institución.

Prepararse para la consulta

Los siguientes test pueden realizarse previo a la consulta, y llevar los resultados a tu médico, que serán útiles a la hora del diagnóstico y el seguimiento, tanto si se trata de un profesional de CEDEFCO como de cualquier otra institución.